Peg Lateral Incisors Duration: 24 months


Crowding Duration: 20 months


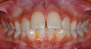
Open Bite Duration: 14 months


Open Bite (from thumb sucking) Duration: 12 months


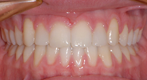
Overbite Duration: 7 months


Underbite


Underbite


By clicking submit you are agreeing to our privacy policy